Purification of His-tagged protein (DHFR-6xHis)
Since all of proteins involved in protein synthesis in PUREfrex® reaction mixture are free of His-tag, the protein of interest can be synthesized as His-tagged protein and purified with metal affinity resin. An example of purification of His-tagged DHFR with a nickel affinity resin is shown below.
CONTENTS
Purification using Ni affinity resin
What was used
- PUREfrex® 2.0 (#PF201-0.25-EX)
- Template DNA (containing DHFR-6xHis gene)
- Ni-Sepharose 6 FF (Cytiva)
- Binding Buffer: 50 mM Tris-HCl pH 8, 500 mM NaCl, 20 mM imidazole, 20 mM Mg(OAc)2
- Wash Buffer: 50 mM Tris-HCl pH 8, 500 mM NaCl, 20 mM imidazole
- Elution Buffer: 50 mM Tris-HCl pH 8, 500 mM NaCl, 100 mM imidazole
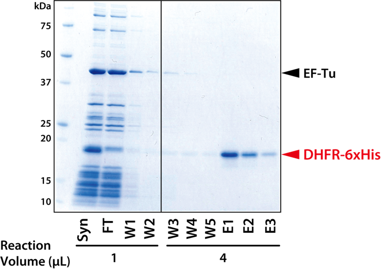
Synthesis with PUREfrex® and purification of synthesized DHFR-6xHis
- PUREfrex® reaction mixture was prepared and incubated for 4 hours at 37ºC (volume: 25 µL).
- Five µL was withdrawn from the reaction mixture. (→ Syn)
- The remaining reaction mixture (20 µL) was diluted with 80 µL of Binding Buffer.
*Diluting with buffer without magnesium ion may destabilize ribosomes, introducing ribosomal proteins into the eluted fraction. When purifying the synthesis product, dilute the reaction mixture with buffer containing magnesium ion. - Ten µL of Ni-Sepharose 6 FF equilibrated with Binding Buffer was added to the diluted reaction mixture, and the resulting mixture was incubated for 1 hour at 4ºC.
*His-tagged proteins synthesized with PUREfrex® tend to bind poorly to nickel affinity resin. Be sure to use more resin than recommended. - The suspension was centrifuged briefly (about 5 seconds) to pellet the resin. The supernatant was isolated. (→ FT)
- The resin was washed twice with 50 µL of Binding Buffer. (→ W1, W2)
- The resin was washed 3 times with 50 µL of Wash Buffer. (→ W3, W4, W5)
- Fifty µL of Elution Buffer was added to the resin to elute bound DHFR-6xHis. (→ E1, E2, E3)
- SDS-PAGE was performed with 10-20% gradient gel.
- After electrophoresis, the gel was stained with CBB to detect the synthesized product.
Result of purification of DHFR-6xHis
An equivalent of 1 µL of the reaction mixture (Syn/FT/W1/W2) or 4 µL of the reaction mixture (W3-5/E1-3) was applied to SDS-PAGE.
Purification using Ni magnetic beads
When purification is performed using Ni magnetic beads under the above buffer conditions, His-tagged proteins may appear in the flow-through fraction. In such cases, optimizing the concentration of imidazole, etc. added to each buffer may solve the problem.
What was used
Sample: His-tagged protein synthesized with PUREfrex® 2.0 (volume: 10 µL)
Beads: PureProteome Nichel Magnetic Beads (MERCK)
Buffers:
| Binding Buffer | (A) | (B) |
|---|---|---|
| Tris-HCl (pH 8.0) | 50 mM | 50 mM |
| NaCl | 500 mM | 300 mM |
| Imidazole | 20 mM | 5 mM |
| Mg (OAc)2 | - | 20 mM |
| Tween 20 | 0.1% | 0.1% |
| Washing Buffer | (A) | (B) |
|---|---|---|
| Tris-HCl (pH 8.0) | 50 mM | 50 mM |
| NaCl | 500 mM | 300 mM |
| Imidazole | 20 mM | 5 mM |
| Tween 20 | 0.1% | 0.1% |
| Elution Buffer | (A) | (B) |
|---|---|---|
| Tris-HCl (pH 8.0) | 50 mM | 50 mM |
| NaCl | 500 mM | 500 mM |
| Imidazole | 400 mM | 400 mM |
| Tween 20 | 0.1% | 0.1% |
Result of purification
Elution efficiency of His-tagged proteins increased with lower concentrations of imidazole and others in the Binding Buffer and Washing Buffer. Also, the addition of magnesium ions to the Binding Buffer reduced the contamination of ribosomal proteins in the eluted fraction.
Tween 20 is added to the buffer, but this is not necessarily required.
